내비게이션 임플란트 | 미소모아치과
내비게이션 임플란트
메인메뉴
미소모아치과
하위분류
의료진 소개
미소모아 소개
병원 둘러보기
진료안내 및 오시는길
풀아치 임플란트
하위분류
풀아치 임플란트란?
네비게이션 임플란트
원데이 임플란트
임플란트 시술 사례
미소모아치과 치료
하위분류
심미치료
원데이 보철
사랑니 발치
어린이 치료
치아 교정
자기치아 살리기
보철 치료
틀니 치료
치료후기
하위분류
미소모아 치료 후기
프로모션
하위분류
미소모아 프로모션
JOIN
LOGIN
네이버 예약
052.261.0875
열기
미소모아치과
의료진 소개
미소모아 소개
병원 둘러보기
진료안내 및 오시는길
풀아치 임플란트
풀아치 임플란트란?
네비게이션 임플란트
원데이 임플란트
임플란트 시술 사례
미소모아치과 치료
심미치료
원데이 보철
사랑니 발치
어린이 치료
치아 교정
자기치아 살리기
보철 치료
틀니 치료
치료후기
미소모아 치료 후기
프로모션
미소모아 프로모션
비급여수가
개인정보처리방침
로그인
회원가입
Home
풀아치 임플란트란?
임플란트 시술 사례
네비게이션 임플란트
원데이 임플란트
임플란트 시술 사례
풀아치 임플란트
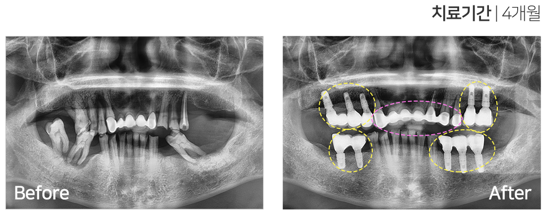
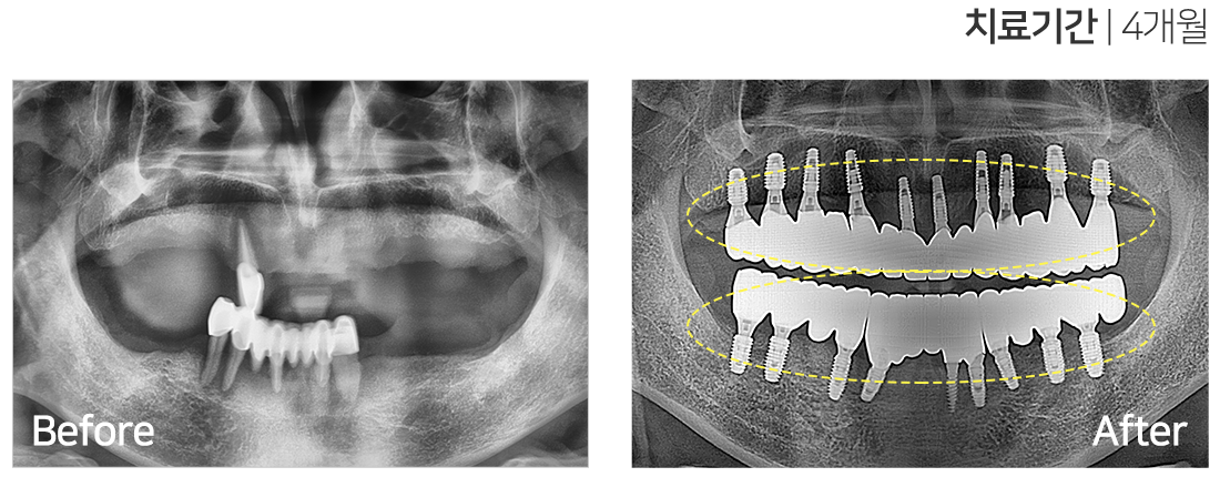
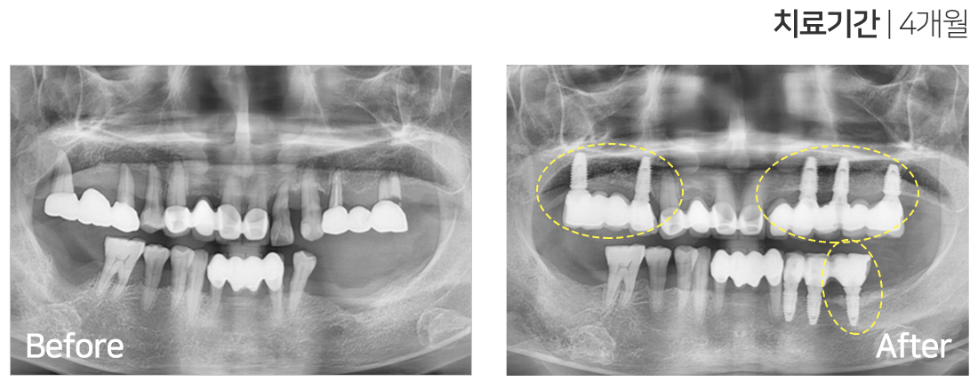
IMPLANT TREATMENT CASES
임플란트 시술 사례
※ 전신질환 및 관리 능력에 따라 임플란트 주위염 등의 부작용이 있을 수 있습니다.
※ 전신질환 및 관리 능력에 따라 임플란트 주위염 등의 부작용이 있을 수 있습니다.
빠른 상담
문의를 남겨주시면 병원담당자가 확인 후 전화드립니다.
이름
연락처
010
011
016
017
018
019
문의내용
개인정보처리방침 동의
개인정보처리방침